USB έκδοση
Το MyMedical usb είναι το μοναδικό πρόγραμμα στο είδος του, το οποίο δεν αφήνει κανένα ίχνος στον Η/Υ και στον σκληρό σας δίσκο. Οποιοσδήποτε προσπαθήσει να αντλήσει πληροφορίες για τους ασθενείς σας από τον υπολογιστή απλά δε θα βρεί ΤΙΠΟΤΑ. Τα πάντα μένουν και λειτουργούν μόνο μέσα στη usb!

- Λαμβάνοντας υπ’όψιν τις ανάγκες τις αγοράς, παρέχουμε την εφαρμογή διαχείρισης ιατρείου MyMedical usb από 850€ μόνο με 220€ (τελικό κόστος εφάπαξ) *
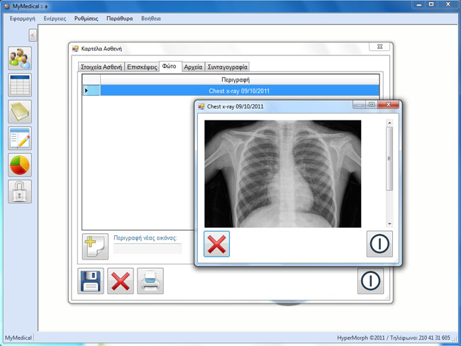
- Διαχειριστείτε εύκολα τα στοιχεία των ασθενών σας, τις επισκέψεις, το συνταγολόγιο, τα ραντεβού σας, δείτε στατιστικά στοιχεία και προσθέστε φωτογραφίες από περιστατικά καθώς και αρχεία word, excel, pdf κ.α. για κάθε ασθενή και για κάθε επίσκεψη.
- Κρατήστε ασφαλές backup των δεδομένων σας όποτε και όπου θέλετε.
- Πάρτε μαζί σας την εφαρμογή σε ένα usb-stick όπου και να βρίσκεστε. Η εφαρμογή είναι φορητή, καθώς “παίζει” μόνο από το usb-stick και τρέχει σε όλους τους υπολογιστές με λειτουργικό σύστημα Windows χωρίς να αφήνει ίχνη για αδιάκριτα μάτια στον υπολογιστή.
- Η ασφάλεια των δεδομένων σας είναι το πρωταρχικό μας μέλημα. Τα δεδομένα σας είναι κρυπτογραφημένα και η εφαρμογή προστατεύεται με κωδικό πρόσβασης.
- Εύκολη στη χρήση, με μοντέρνα εμφάνιση και πεδία αναζήτησης για εύκολη πρόσβαση στα δεδομένα που σας ενδιαφέρουν.
- Δυνατότητα εκτύπωσης διαφόρων στοιχείων καθώς και εξαγωγή των βασικών στοιχείων των πελατών σε excel αρχείο.
- Άμεση 24ωρη υποστήριξη σε οποιοδήποτε πρόβλημα παρουσιαστεί.
- Στην τιμή αγοράς της εφαρμογής συμπεριλαμβάνεται η εγκατάσταση του MyMedical USB διαδικτυακά στο usb-stick ή εξωτερικό σκληρό δίσκο της επιλογής σας.
- Χωρίς ετήσια κόστη – χωρίς κρυφές χρεώσεις – χωρίς δέσμευση.
- Η εκπαίδευση κοστολογείται 70 ευρώ + ΦΠΑ ανά ώρα.
* Στην τιμή περιλαμβάνεται εγκατάσταση του MyMedical USB διαδικτυακά στο usb-stick ή εξωτερικό σκληρό δίσκο της επιλογής σας
Κάντε τώρα παραγγελία τηλεφωνικώς στο 210 41 31 605 ή συμπληρώστε την παρακάτω φόρμα για να επικοινωνήσουμε εμείς μαζί σας.
Παραλαμβάνετε το πρόγραμμα εγκατεστημένο μέσα στη usb άμεσα με αντικαταβολή στην πόρτα σας.
Καλέστε μας τώρα στο +30 210 41 31 605 ή συμπληρώστε την παρακάτω φόρμα και θα επικοινωνήσουμε μαζί σας εντελώς δωρεάν:
Δείτε μια σύντομη παρουσίαση των δυνατοτήτων του MyMedical:
